Science and Nature

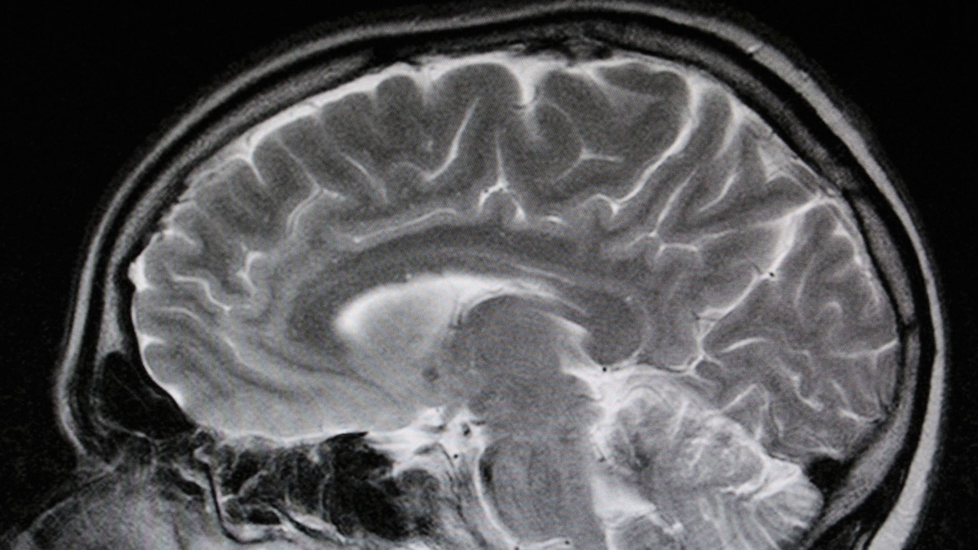
Concussion: Answers in the Blood?

Discover the intertwined story of the promising research undertaken by two University of Montana scientists and the real experiences of two athletes recovering from concussions. The documentary also tracks a year of the scientists' research and findings and the quest for funding to continue their work while following the athletes and trainers as they navigate the current concussion protocol.

PBS PASSPORT

Stream tens of thousands of hours of your PBS and local favorites with WETA+ and PBS Passport whenever and wherever you want. Catch up on a single episode or binge-watch full seasons before they air on TV.

Similar Shows

Poster Image
N of 1: show-poster2x3

N of 1

Science and Nature

Poster Image
Passage: show-poster2x3

Passage

Science and Nature

Poster Image
Outback: show-poster2x3

Outback

Science and Nature